Teeth Whitening in Hayward, CA


teeth-whitening - Newark Family Dental

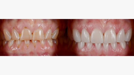
You look more beautiful because of your smile. But you start to hide this smile as soon as your teeth get naturally darken or when yellow stains appear on your teeth. One of the best ways to improve your appearance and smile is teeth whitening, which is also known as tooth bleaching. With this treatment, patients can lighten the color of their teeth and boost their confidence.

What is the Lifespan of Teeth Whitening or Bleaching?

The lifespan of teeth whitening or bleaching can vary from 3 to 6 months. Rest the life of teeth whitening depends upon the type of treatment that you choose or the intake of food and beverages, such as tea, coffee, and blueberries, which may cause stains on your tooth.

Types of Teeth Whitening

Over-the-Counter Teeth Whitener or Teeth Whitening Kits

You can use Over-the-counter whitening kits at your home to whiten your teeth, but always choose one which is recommended or approved by the American Dental Association. Otherwise you can have discomfort of teeth, sensitivity or irritation of gums.

Customized Whitening Trays

Customized whitening trays are an advanced teeth whitening system that uses an effective and safe bleaching gel to remove stains and discoloration within two weeks. Due to customization, the trays can easily fit your teeth and help you get excellent results without creating any irritation or gum issues.

Professional Teeth Whitening

Professional teeth whitening is an in-office whitening treatment given by dentists by using their concentrated peroxide formula so that you can get white teeth with expert practice rather than considering other whitening methods that consume so much time to see results.

If you need more information about teeth whitening service or need a professional dentist, you can contact us at (510) 489-3400.

Testimonial

"My wholehearted recommendation of Dr. Kohli. You have obviously chosen the right profession. Keep up the good work".
V.A., Milpitas

You are all terrific! I will always remember how nice and caring all of you have been to me."
A.S., Fremont

Latest News

01Health Of Gums Improves With Weight Loss

Case Western Reserve University School of Dental Medicine researchers found the human body is better at fighting.....

Contact Us